수술 없이, 내일은 더 편안하게 연산당당한방병원
20여년 임상 노하우를 담은
통합 의학적 회복 솔루션






근막과 근육의 과도한 긴장을 이완하는
도수치료
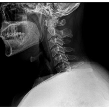
뼈를 밀고당겨서 정상위치로 돌려놓는
추나요법
관절에 무리가 최소화되고,
교정 후 틀어진 상태로 돌아가려는 현상이 지연됩니다.
염증과 용종, 궤양 등
구조적 문제를 진단하는 위/대장내시경
내시경으로 원인 못찾은 소화기 질환에는
담적 치료 한약 처방
증상만 있고 치료가 힘들었던 위/대장 질환의
원인 파악과 치료까지 한 번에 가능합니다.
허리・목・어깨・무릎 등 실제 사례를 수치와 영상으로 투명하게 공개합니다.
누적 추나 시술 건수
118350회
논문
27건
연간 진료 인원
36614명
누적 약침 시술 건수
111073회
온라인 예약 후 검사・협진 상담・맞춤 치료까지 원스톱으로 진행됩니다.
051-861-7575
051-861-8585
051-861-8585
051-861-7574
연산당당 통증치료맵으로 알아보세요.
수술하고 재활병원 찾다 지인들이 대부분 연산당당한방병원 추천해주더라고요. 한방 양방 같이 받을 수 있어서 회복이 빨리 된 것 같고 간호사분들도 너무 이쁘고 친절하셔요. 그리고 여기 병원밥맛집이네요 ^^
개별 도수치료실이 있어서 너무 편하게 받을 수 있었고 특히 OOO 선생님이 이곳저곳 꼼꼼히 몸상태 봐가면서 치료해주셔서 꾸준히 받고싶어요! 그리고 다들 너무 친절해서 좋았습니다.
평일 시간 없어서 주말에 건강검진 받으러 방문했어요. 너무 프라이빗하고 동선이 편해서 빠르게 잘 받을 수 있었어요.
한방병원에 정형외과 전문의가 있는게 새로웠고 진료 잘 봐주셔서 너무 만족해요. 원장님과 직원분 모두 감사합니다!
부산 추나 맛집 연산당당한방병원❤️ 체형도 점점 변하고 받고 나면 몸이 가벼워진게 느껴져요. 통증이 줄어들고 있는게 너무 신기합니다. 앞으로도 꾸준히 방문할 예정이에요!
만성통증 치료 잘한다는 소문이 진짜네요! 원인 분석부터 치료 계획까지 꼼꼼해서 좋았어요. 통증 때문에 제대로 못 잤었는데 지금은 많이 좋아져서 너무 행복해요.
부산광역시 연제구 월드컵대로 82, 1~8층
연산역 6번 출구에서 직진 약 450M
연산역 4번출구에서 직진 후 맞은편
체형교정, 족부교정, 턱관절교정, 턱관절 난치성 질환, 근골격계통증, 척추관절질환, 추나요법, 약침, 한방내과
척추관절통증, 자가면역질환, 고지혈증, 고혈압, 당뇨병, 류마티스, 통풍, 크론병, 해독요법
척추관절질환, 교통사고후유증, 다이어트, 부인과
척추관절질환, 근골격계통증, 체형교정, 추나요법, 약침, 교통사고후유증, 수술 후 재활, 스포츠재활
척추관절질환, 교통사고후유증, 턱관절난치병, 화병, 소화기질환, 안면마비
사상체질, 뇌신경재활, 퇴행성뇌질환*파킨스, 소화기, 소아청소년 성장, 부인과, 다이어트
근골격계통증(디스키질환,척추관절협착증), 척추관절질환, 교통사고 후유증, 부인과, 다이어트
무릎질환, 족부질환, 팔꿈치질환, 어깨질환, 경추 및 요추 척추질환, 신경차단술
소화기계 위장질환, 건강검진, 위·대장 용종 절제술, 위장관 내시경 지혈술