051-861-7575

전체메뉴

연산당당한방병원은
언제나 여러분들
곁에 있습니다.
  • 상호명 : 연산당당한방병원
  • 대표자 : 성진욱
  • 사업자등록번호 : 154-59-00644
  • 주소 : 부산광역시 연제구 월드컵대로 82, 1~8층

골반교정

출산 이후는? 골반 교정 EVENT 타임!

출산 이후는? 골반 교정 EVENT 타임!

KNN 투데이주치의   출산 후 골반교정 어떻게 해야하나

KNN 투데이주치의 출산 후 골반교정 어떻게 해야하나

산후 골반 교정 골든 타임,
출산 후 4주~6개월

출산 후 여자라면 놓치지 말아야 할 진실!

산후골반교정은 언제하면 좋나요?

출산 후 골반교정의 골든타임은 출산 후 4주~6개월입니다.

▲ 임신, 출산 기간 중 릴렉신 호르몬 변화

출산 시 발생한 릴렉신 호르몬으로 인해 골반은 물론 관절과 인대, 힘줄들이 유연해지고 늘어나게 되면서
산모의 몸은 출산에 최적화 된 몸 상태로 변합니다.

릴렉신 호르몬은 출산 후 약 6개월까지 분비가 되기 때문에,
몸이 굳어지기 전인 출산 후 6개월 이내에 산후골반교정을 받으면 효과적입니다.

임신 전부터 있었던 만성적 체형 불균형도 관절이 부드러운 이 시기에는 교정이 가능합니다.
만약 통증이 심한 경우나 출산 전부터 척추측만증, 골반 틀어짐 등의 체형 불균형이 있는 경우
출산 4주 이내에도 상담 후 적절한 치료가 가능합니다.

골든타임에 조심해야 할 것은?

출산 후 6개월 까지는 관절이 부드러운 만큼 한 쪽으로만 아기를 안거나, 잘못된 자세로 수유를 반복하면
짧은 시간에 몸의 정렬이 틀어질 수도 있습니다.

산후 골반 교정이 필요한 이유

모체회복·통증개선
  • 원활한 오로 배출로 자궁 회복
  • 허리, 골반 통증 개선
  • 어깨 통증 개선
  • 자궁, 방광, 질, 항문, 직장 강화
2차 질환 예방
  • 산후풍 예방
  • 허리디스크 예방
  • 휜다리 예방
  • 척추 퇴행성 질환 예방
  • 하체 · 복부 비만 예방
몸 라인 개선
  • 하체 순환으로 부종 감소
  • 아랫배 들어감
  • 처진 엉덩이 개선 (힙업)
  • 처진 가슴 개선
  • 허벅지 승마살 개선

산후풍 예방과 치료까지 당당에서 함께 받아보세요.

이제는 하세요!

원인 치료와 재발 없는 교정을 위해서는 어디가 아픈지, 틀어짐이 있는지를 파악할 수 있는 검진시스템이 있어야 합니다.

산후 골반교정 검사 프로세스

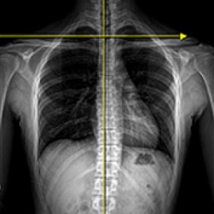
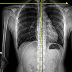
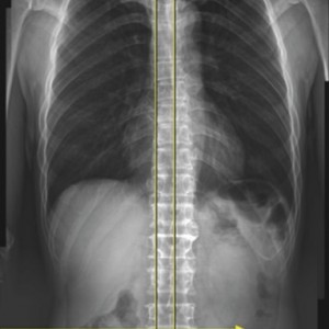
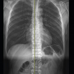
엑스레이 검사
골반 및 고관절 CT
모아레 근육 균형 검사
동적족저압 검사
스텝랩 보행검사
체성분 검사
좌우 골반 수평 및 비틀림 측정
흉추, 요추 만곡, 척추 휘어짐 측정
좌우 다리 길이와 틀어짐 측정
엉덩이 관절의 염전각 측정
경골의 회전과 내반 측정

연산당당한방병원 골반교정 치료법

01

원인치료

족부와 골반의 밸런스 치료
턱관절과 경추(목뼈)의 밸런스 치료
생활습관 교정 치료
02

교정치료

추나요법
틀어진 뼈의 위치를 정상복원
도수치료
상, 하지의 근육 불균형 교정
+ 체중심(복부, 골반) 강화
롤핑요법
근막이완 롤핑요법
MET
근육 에너지 치료법
보행교정
잘못된 보행 교정
03

침구치료

침과 부항을 이용해 기혈 순환을 정상화시키고 체표 근막과 심부 근육의 긴장 이완
약침
근육의 경결점을 녹여 손상된 근섬유를 재생하고 근육 이완 및 통증 완화 효과
아이의 웃음소리만큼 소중한건 엄마의 건강입니다
변화된 골반과 체형은 산후우울감을 더할 뿐입니다.
때를 놓치면 평생 후회할 산후골반교정 건강한 엄마가 되어가는 여정의 첫시작
연산당당한방병원이 도와드리겠습니다
Q&A

모든 궁금증,
연산당당이 풀어드립니다.

산후 골반 교정 골든 타임(출산 후 4주~6개월) 지나고 받으면 치료 의미가 없나요?
최대 6개월이 지났다고 골반 교정 효과를 기대할 수 없는 것은 아닙니다. 다만, 출산 직후 6개월까지 골반과 인대가 비교적 부드럽고 유연한 상태를 유지하기 때문에 교정 효과가 더 빠르고 효율적인 시기로 여겨지는 것뿐입니다. 시간이 지날수록 인대와 관절이 굳어지고 틀어진 자세가 습관화될 가능성이 있지만, 적절한 교정을 통해 여전히 개선할 수 있습니다.
자연분만과 제왕절개 시 적용하는 골반교정 방법과 시기가 다른가요?
네 출산 방법에 따라 골반 교정 시기와 방법이 다릅니다. 자연분만은 골반이 크게 벌어지거나 비대칭 문제가 유발될 가능성이 크므로, 출산 후 주(산욕기 이후)부터 골반 교정을 시작하는 것이 효과적입니다.
산후 골반교정 시 주의해야 할 점은 무엇인가요?
몸 상태에 맞게 가벼운 동작부터 시작하며 과도한 스트레칭이나 힘을 주는 운동은 피해야 합니다. 특히 허리와 골반 컨디션이 좋지 않을 경우 전문가의 지도를 받는 것이 좋습니다.
잘못된 자세 (다리 꼬기, 쪼그려앉기, 무릎 꿇기)는 골반 변형을 악화시킬 수 있으믈 피해야 하며 수유시에도 바른 자세 유지가 필요합니다.

찾아오시는 길

부산광역시 연제구 월드컵대로 82, 1~8층

건물 주차장 무료 이용 가능합니다.

지하철 이용 시

1호선3호선 연산역 6번 출구에서 도보 460m

버스 이용 시

51번, 189번
  • 반도보라아파트
    하차 후 약 240m 거리 (물만골 방향)
  • 연산초등학교
    하차 후 약 200m 거리 (연산역 방향)

내원 전 간편하게 예약하세요!

홈페이지 내에 있는 모든 사진, 이미지, 디자인, 페이지에 대한 저작권 등의 권리는 연산당당한방병원에게 있습니다.
따라서 연산당당한방병원의 허락 없이 표절, 무단도용, 재편집을 금지합니다.

빠른상담

상담 신청을 위한 정보를 남겨주시면
보다 빠른 상담이 가능합니다.

로그인 후 이용해주세요.