
토탈힙, 라잉레그컬, 스미스머신
250평의 규모를 자랑하는 연산당당한방병원 도수·물리치료센터
뼈뿐만 아니라 근육의 불균형까지 함께 보고,
재발 방지를 위해 본인도 몰랐던 보행 패턴까지 바꿉니다.
▲ 스텝랩 보행검사를 통한 보행 패턴 파악
▲ 모아레 근육 균형 검사를 통한 근육 불균형 파악
도수치료의 효과, 눈으로 확인할 수 있을까요?
치료 받을 때만 아프지 않은 것 아닌가요?
단지 통증이 사라지는 것만이 도수치료의 목표가 아닙니다.
당당도수치료의 최종 목표는
스스로 통증을 조절할 수 있는 힘을 키우는 것입니다.
정확한 통증 원인을 찾아내는 검사
실제 아픈 부위는 피해자일 가능성이 높습니다.
다리 저림이 문제라면 허리디스크 탈출을 의심하듯 무릎의 문제가 틀어진 발목이나 골반 때문일 수 있습니다.
그래서 가해자를 찾는 검사까지 같이 해야 합니다.
제대로 된 원인을 찾아 개선하지 않고
통증 부위에만 치료를 반복한다면
재발할 가능성이 높습니다.
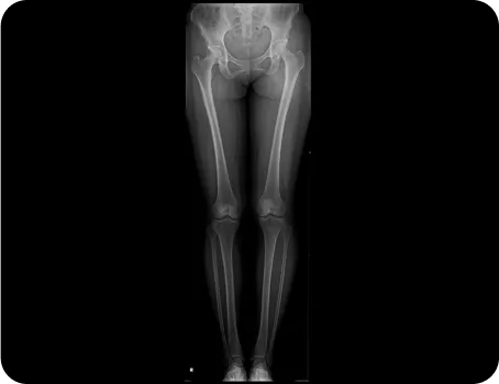
풀스파인 촬영으로
신체의 전체적인 문제를 파악하고
통증의 정확한 원인을 찾아
재발을 예방하고, 통증을 개선하는
치료를 합니다.
머리부터 발끝까지 완벽하게 체형을 분석 후
통증을 만들어낸 가해자가 누군지를 찾아내서 치료합니다.
다양한 패턴을 바탕으로 분석 후 계획을 세우기 때문에,
진단과 치료의 정밀도가 다릅니다.
도수치료로 내과 질환을 치료할 수 있을까?
내장기에 문제가 발생하면 소화기능의 문제로 연결되고, 측만증과 체형불균형으로 이어질 수 있습니다.
내장기 도수치료 중 하나로, 정상적인 위치보다 내려온 간을
손으로 압력을 가하여 제자리로 되돌리는 전문적인 도수치료 기법
내과검사 (내시경 등)
내장기 도수치료
내장기 약침/한약, 내장기 추나치료
내과 전문의
진료 및 처방
도수치료의 효과를 지속시키고 통증의 원인을 제거하기 위해서는
질환에 맞는 여러 가지 재활 운동이 필수적입니다.
총 250평 규모의 센터는 프라이빗한 1:1 개인 도수치료실과 넓고 쾌적한 탈의실을 갖추고 있습니다.
보이지 않는 부분까지 세심하게 챙겼으니까!
커플링 패드는 어플리케이터에 장착되어 충격파를 치료부위에 적용합니다.
충격파에너지가 치료 부위에 조사되면 국소적인 통증감각의 감소, 근이완, 혈액의 미세순환 신진대사가 향상되며, 신생혈관의 생성을 유도하고 혈류 공급을 증가시킴으로서 병변조직의 치요를 촉진시켜 통증을 완화합니다.
건물 주차장 무료 이용 가능합니다.
홈페이지 내에 있는 모든 사진, 이미지, 디자인, 페이지에 대한 저작권 등의 권리는 연산당당한방병원에게 있습니다.
따라서 연산당당한방병원의 허락 없이 표절, 무단도용, 재편집을 금지합니다.
체형교정, 족부교정, 턱관절교정, 턱관절 난치성 질환, 근골격계통증, 척추관절질환, 추나요법, 약침, 한방내과
척추관절통증, 자가면역질환, 고지혈증, 고혈압, 당뇨병, 류마티스, 통풍, 크론병, 해독요법
척추관절질환, 교통사고후유증, 다이어트, 부인과
척추관절질환, 근골격계통증, 체형교정, 추나요법, 약침, 교통사고후유증, 수술 후 재활, 스포츠재활
척추관절질환, 근골격계통증, 교통사고후유증, 다이어트, 부인과, 안면마비, 통증특수클리닉
척추관절질환, 교통사고후유증, 턱관절난치병, 화병, 소화기질환, 안면마비
무릎질환, 족부질환, 팔꿈치질환, 어깨질환, 경추 및 요추 척추질환, 신경차단술
소화기계 위장질환, 건강검진, 위·대장 용종 절제술, 위장관 내시경 지혈술