낫지 않는 통증으로
혼자 고민하지 마세요.
아픈 곳에 통증의 원인이 있고
검사로 바로 찾아낼 수 있다면
얼마나 좋을까요?
염좌나 급성염증이 아니라
6개월 이상 된 만성통증은
복합적인 원인으로 통증이 지속되기에
아픈 곳만 검사하고 치료해서는
통증을 뿌리 뽑기 힘듭니다.
한방재활의학과 /
한방내과
임상 경력
15년 차 이상의 한의사가
통증의 원인을 정확히 찾고
현재와 미래의 통증까지
한 번에 치료합니다.
통증의 길을 찾는
통증 내비게이션 진단 시스템
바로가기
통증 부위와 원인을 구분하는
통증 방정식
바로가기
현재와 미래의 통증까지 치료하는
장단기 복합 치료 전략
바로가기
당당의 한방 특화진료
Specialization
통증치료 왜 연산당당한방병원일까요?
“이런저런 검사 다 해봤지만, 제대로 된 원인을 찾을 수 없고 치료를 해도 낫지 않습니다.
분명 증상은 있는데
결과는 정상이라고 하니
환장할 노릇입니다.”
이런 분들 주위에 너무 많지 않나요?
아픈 곳을 치료한다고
통증이 낫지 않는 경우는
뇌가 통증을 느끼는 부위와
실제 통증의 원인이 되는 곳이
달라서 생기는 문제입니다.
Know-how
연산당당은 증상만 치료하지 않습니다.
증상이 있는 곳뿐만 아니라
우리 몸 곳곳에 숨겨진 원인까지 함께 치료하는 연관통이라는 개념을 적용하여
한방과 양방치료를 결합한
하이브리드 치료를 통해
통증의 뿌리까지 뽑아드립니다.
통증의 원인을 찾는
당당만의 프로세스
통증 치료 방정식
통증 부위나 병명이 같다고
치료까지 똑같지 않습니다.
당당 통증 방정식
-
1차 방정식
-
2차 방정식
-
3차 방정식
-
4차 방정식
-
5차 방정식
1차 방정식
통증의 원인과 통증 부위가
같은 곳에 있을 때
2차 방정식
통증의 원인과 통증 부위가
다른 곳에 있을 때
3차 방정식
통증의 원인과 통증 부위가
더 멀리 떨어져 있을 때
4차 방정식
체형불균형으로 인해
통증이 나타났을 때
5차 방정식
심리적, 정서적인 문제로
통증이 나타났을 때
상향 패턴
발의 형태(평발ㆍ요족), 정적ㆍ동적 족압밸런스, 발목 정렬 등
발에 관한 전반적인 검사
발과 관련된 질환의 원인을 찾고, 보행과 발의 좌우 압력 차이로 인한
통증 유발 원인을 분석할 수 있을 뿐만 아니라 신체 전반적인 체형과 균형을 확인할 수 있습니다.
신체의 기초 역할을 하는 발!
발이 틀어지면 신체가 무너집니다.
- 발과 걸음걸이 이상
- 족부와 골반 불균형
- 고관절과 골반 틀어짐
- 체형 불균형 시작
하향 패턴
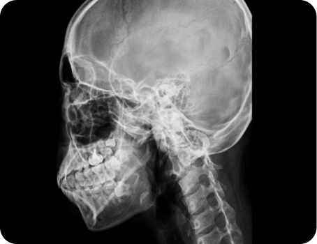
상악과 하악의 교합을 파악하는 검사로 안면비대칭, 턱관절문제
더 나아가 턱관절 관련 난치성 질환을 예측할 수 있으며
턱과 목뼈 1,2번의 틀어짐을 파악하여 통증신호의 증폭 여부를 파악할 수 있습니다.
턱관절에 불균형이 있다면 위의 순차적 과정으로
체형 불균형으로까지
이어질 수 있습니다.
- 턱관절과 경추의 불균형
- 머리와 경추의 편측 근육 긴장
- 경추 1, 2번의 틀어짐
- 체형 불균형 발생
▲ CTA 5개월 착용 (2016년 6월 29일)
▲ CTA 9개월 착용 (2016년 10월 29일)
통증 부위에만 집착하는 검사 대신
원인을 찾는 검사를 합니다.
검사 프로세스
모아레 등고선 검사
근육의 밸런스와 불균형 파악 검사
경락 기능 검사
혈관 건강도 & 스트레스 지수 & 자율신경 검사
사상 체질 검사
태양인 / 태음인 / 소음인 / 소양인 판별 검사
시진/청진/문진/복진/맥진
보는 것, 듣는 것, 질문하는 것, 만져보는 것으로 환자의 상태를 확인하는 검사
초음파
근육, 인대, 힘줄 등 연부조직의 손상 확인
CT
골절 및 변형의 정확한 양상을 입체적으로 파악 및 골절 이후 뼈의 유합된 정도를 판단
혈액검사
염증 및 호르몬 미네랄 결핍 파악을 위한 검사
족부검사
보행과 발의 좌우 압력 차이로 인한
통증 유발 원인을 분석
턱관절검사
Submento Vertex View 포함
근막이완술
제한된 근막이나
근육의 길이를 회복시켜
관절가동범위를 회복
추나요법
척추관절을 교정하여
척추와 관절의
운동성을 변화
운동치료
교정된 척추정렬을
유지할 수 있도록 속근육과 인대 등
연부조직 강화
10대부터 60대까지 12주 치료 후
당당통합교정프로그램 논문 결과
- 척추가 정상위치에 단단하게 유지되어
키의 증가로 이어진 것으로 보임
- 척추관절이 중립으로 유지되어
근육량의 증가로 이어진 것으로 보임
Criterion 01.
전통 한의학
침, 추나, 약침, 한약 처방 실력
많은 스터디와 세미나 참석 및 참관 횟수
침과 약침, 추나와 한약 실력은 한의사의 치료 성공율을 결정짓는 변수입니다. 매주 1회씩의 원내 스터디와 매달 외부 세미나 및 진료 참관을 통해 실력을 꾸준히 키우고 있습니다.
Criterion 02.
논문으로 치료 효과의
객관적인 입증 여부
진료를 하면서 논문까지 쓰는 한방병원이 전국에 몇 개나 될까요? 연산당당한방병원은 매년 평균 2~3편의 논문을 쓰며 그중 1편은 권위 있는 국제학술지에 게재되는 SCI급 논문을 쓰고
있습니다.
Criterion 03.
치료율을 올리기 위한 시스템
매주 원장단 콘퍼런스를 통해 치료사례를 공유하여 치료율을 향상시키고 국제학술 세미나 및 협진시스템의 효율성을
제고하고 있습니다.
Criterion 04.
개인의 체력 관리
결국 치료 실력은 지치지 않는 체력이 뒷받침되어야 합니다.
원장이 건강해야 환자도 치료를 잘 받을 수 있습니다.
Criterion 05.
현대의 발전하는 의료기술의
습득 여부
전통 한의학을 기반으로 발전하는 현대 의료기술도 습득해야 치료율을 더 올릴 수 있습니다. 초음파 진단 및 CT, MRI 등의 영상진단을 꾸준히 학습합니다.
진료에 대한 열정 어디서 나올까요?
한의학 + 의학 + 물리치료학을 융합하여 새로운 의학 모델인 K-Medi를 선도하고 세계에 알린다는
당당한방병원의 원대한 비전에 모두 공감하기 때문입니다.
국내 최고의
한방병원 브랜드가 되어
K-Medi 시스템이
세계 의료시장 중심에
우뚝 서는 것
그 다음 순서가 무엇일까요?
현재도 연산당당한방병원의 진료 인원의 5%는 외국인입니다.
K-MEDI의 세계 진출은 꿈이 아니라 현실입니다.
세계인들이 한약을 먹고
추나와 침, 약침을 시술받으며
양한방 하이브리드 의학으로 진단받고 치료받는 그날까지 우리의 열정은 식지 않습니다.
검사 프로세스
모아레 근육 균형 검사
근육의 밸런스와 불균형 파악 검사
경락 기능 검사
혈관 건강도 & 스트레스 지수 & 스트레스 검사
사상 체질 검사
태양인 / 태음인 / 소음인 / 소양인 판별 검사
시진 / 청진 / 문진 / 복진 / 맥진
보는 것, 듣는 것, 질문하는 것, 만져보는 것으로
환자의 상태를 확인하는 검사
치료 프로세스
01
침
뇌를 자극하여 호르몬 분비를 조절하며 자율신경의 이상을 정상 회복시키며
근육을 이완하고 기혈순환의 흐름을 돕습니다.
혈액 순환 개선
손상된 조직의 회복을 돕고,
염증 및 부종을 제거하여 다양한 질환을 치료
근육 긴장 완화
오랜 기간동안 반복된 근육 긴장으로 발생한
근골격계의 다양한 질환을 치료
뇌신경 조절
각종 통증 염증성 질환, 신경과 질환,
내과 질환을 치료
02
뜸
국소부위의 혈류순환을 도와
신경 회복을 돕고
양기를 공급하여
체내의 냉기를 제거하며
면역에 도움을 줍니다.
뜸의 온열자극으로 기혈순환 촉진
모세혈관이 확장되고 혈행을 왕성하게 하여
병리적 산물의 흡수를 촉진하고 종창을 감소
03
부항
기압 차이를 이용해 혈액 순환을 촉진하여 경직된 근육을 이완시키고 혈액을 맑게 해주는 치료 방법입니다.
특히 근육의 단축이나 이완에 의한 손상을 회복하고, 산과 젖산의 분해를 도와 근육의 피로도를 줄여줍니다.
04
전침
2개 이상의 경혈에 자침한 후
침병에 약한 전류를 통과시켜
침자극과 함께 전기적 자극을 주어
질병을 치료하는 치료법으로
감각이상 마비 질환 및
신경통을 완화시키는 효과가 있습니다.
[ 주로 만성 지속적 통증과
내과적인 질환,
비만 치료 등에 사용 ]
05
그 외 치료
질환에 따라 침, 전침, 뜸, 부항은 함께 시술하기도 하고
꼭 필요한 시술만 별도로 시행하기도 합니다.
정골 추나, 경근 추나, 내장기 추나, 두개천골 추나
추나요법
뇌를 자극하여 호르몬 분비를 조절하며
자율신경의 이상을 정상 회복시키며
근육을 이완하고 기혈순환의 흐름을 돕습니다.
뜸
국소 부위의 혈류순환을 도와 신경 회복을 돕고
양기를 공급하여 체내의 냉기를 제거하며 면역에 도움을 줍니다.
부항
기압 차이를 이용해 혈액 순환을 촉진하여 경직된 근육을 이완시키고
혈액을 맑게 해주는 치료 방법입니다.
특히 근육의 단축이나 이완에 의한 손상을 회복하고.
산과 젖산의 분해를 도와 근육의 피로도를 줄여줍니다.
수많은 경험과 뛰어난 실력을 자랑하는 한방 전문의가
여러분을 맞이합니다.
한방재활의학과 한의학 박사 · 겸임교수
성 진 욱
병원장
특화진료
- 척추관절질환
- 턱관절교정
- 족부교정
- 소화기질환
- 부인과질환
- 한약·보약
한의사
정 수 용
원장
특화진료
- 척추관절질환
- 턱관절교정
- 족부교정
- 면역치료
- 해독요법
- 혈압·당뇨·피부병
- 자가면역질환
한방재활의학과 전문의
이 근 재
원장
특화진료
- 체형교정
- 근골격계통증
- 척추관절질환
- 추나요법·약침
- 교통사고후유증
침구과 전문의
박 여 빈
원장
특화진료
- 척추관절질환
- 근골격계통증
- 교통사고사고후유증
- 다이어트
- 부인과
- 안면마비
- 통증특수클리닉
한의사
홍 근 화
원장
특화진료
- 척추관절질환
- 교통사고후유증
- 턱관절난치병
- 화병
- 소화기질환
- 안면마비
DangDang Doctor
해당 사진은 수정없는 실제 치료사진입니다.
환자의 치료결과는 환자의 상태, 치료방법 등에 따라 차이가 발생할 수 있습니다.
해당 페이지를 무단 도용하는 것은 명백한 불법이며 범죄행위입니다.
홈페이지 내에 있는 모든 사진, 이미지, 디자인, 페이지에 대한 저작권 등의 권리는 연산당당한방병원에게 있습니다.
따라서 연산당당한방병원의 허락 없이 표절, 무단도용, 재편집을 금지합니다.
성진욱 병원장
한방재활의학과 한의학 박사 · 겸임교수
한방과
체형교정, 족부교정, 턱관절교정, 턱관절 난치성 질환, 근골격계통증, 척추관절질환, 추나요법, 약침, 한방내과
약력
- 현) 연산당당한방병원 병원장
- 동의대학교 한방재활의학과 한의학박사
- 동의대학교 한의과대학 대학원 졸업
- 인제대 산업융합대학원 메디컬산업융합학과 겸임교수
- 한국임상움직임치료학회(KACMT) 회장
- 부산시한방병원협회 부회장
- 척추신경추나의학회 평생 회원
- 턱관절균형의학연구소 FCST 정규 과정 수료
- 약침학회 회원
- 대한한방성장학회 회원
- 한방체형교정학회 교육위원
- 전) 당당한의원 금정점 대표원장
논문
- 맞춤형 족부보조기와 한방치료를 병행한 편평족 환자의 인체중심선의 변화에 대한 후향적 연구 외 11건
저서
- 2019년 한방명의 여기에 (한방 명인을 찾으면 건강이 보인다)
- 2000년 여성 건강 움직임 치료 프로그램
- 2004년 성프로 방제학
정수용 원장
한방과
척추관절통증, 자가면역질환, 고지혈증, 고혈압, 당뇨병, 류마티스, 통풍, 크론병, 해독요법
약력
- 현) 연산당당한방병원 진료원장
- 전) 체담한방병원 원장
- 전) 대구 당당한방병원 원장
- 대한 족부한의학회 부회장
- 대한 발효 해독학회 학술위원장
- 대한 노화예방의학과 인정의
- 대한 스포츠한의학회 회원
- 대한 통증제형학회 회원
- 대한 맥진학회 회원
- FCST 전문과정 5기 수료
- 치료비만연구회 회원
논문
- 2002년 9월 제14회 부산 아시아 경기대회 선수촌 병원 진료한의사 위촉
- 2006년 3월 미국 캘리포니아주 한의사 시험 합격
- YTN. KNN 방송 다수 출연
김진경 원장
한방과
척추관절질환, 교통사고후유증, 다이어트, 부인과
약력
- ㆍ대구한의대학교 한의학과 졸업
- ㆍ대구한의대학교 경혈, 본초학 학술회장
- ㆍ대구한의대학교 피부미용과 본초학 강의
- ㆍ전) 광덕안정한의원 부원장
- ㆍ대한한의사협회 추나교육 이수
- ㆍ대한침도학회 연부조직학 고급과정 수료
- ㆍ대한방제학회 방제학 교육 수료
이근재 원장
한방과
척추관절질환, 근골격계통증, 체형교정, 추나요법, 약침, 교통사고후유증, 수술 후 재활, 스포츠재활
약력
- 현) 연산당당한방병원 진료원장
- 전) 강남 자생한방병원 진료원장
- 전) 당당한의원 금정점 진료원장
- 상지대학교 한의과대학 졸업
- 강남 자생한방병원 인턴∙레지던트 과정 수료
- 한방재활의학과 회원
- 척추신경추나의학회 회원
- 대한한의학회 회원
- 척추신경추나의학회 정규교육과정 수료
- 대한스포츠한의학회 팀닥터과정 수료
- 미국 근골격계 초음파 자격증(APCA RMSK) 보유
- 네이버 지식iN 상담한의사
- SCIE 국제학술지 1저자
- 강남 자생한방병원 신규의료진 교육 담당원장 역임
논문
- ·Association between pain and gait instability in patients with lumbar disc herniation 외 6편
박여빈 원장
한방과
척추관절질환, 근골격계통증, 교통사고후유증, 다이어트, 부인과, 안면마비, 통증특수클리닉
약력
- 현) 연산당당한방병원 진료원장
- 대구한의대 졸업
- 삼세한방병원 침구과 전문의 수련
- 동의대학교 한의학과 침구학 석사
- 동의대학교 한의학과 침구학 박사
- 척추신경추나의학회 정규워크숍 수료
- 대한 침구의학회 평생 회원
- 한방소아청소년과 전문가 아카데미 수료
논문
- 흰 쥐의 만성 알코올 섭취로 유도된 간 손상에 대한 건칠 약침의 효과
- 퇴행성 슬관절염에 자하거 약침의 관절강내와 경헐주입치료의 비교 고찰
홍근화 원장
한방과
척추관절질환, 교통사고후유증, 턱관절난치병, 화병, 소화기질환, 안면마비
약력
- 현) 연산당당한방병원 진료원장
- 우석대학교 한의학과 졸업
- 대한맥진학회 정회원
- 대한 뇌파진단학회 정회원
- 대한통합암학회 인증 통합암치료 인정의
- 대한도침학회 해부학 기초 과정 수료
- 임상통합의학 암학회 정회원
- 턱관절균형의학 전문가 과정 수료
- 구조의학연구회 전문가 과정 수료
김유대 원장
정형외과
무릎질환, 족부질환, 팔꿈치질환, 어깨질환, 경추 및 요추 척추질환, 신경차단술
약력
- 현) 연산당당한방병원 정형외과 진료원장
- 인제대학교 의과대학졸업
- 신마산 병원 진료부장 역임
- 마산 무룹병원 부원장 역임
- 김해 삼승병원 진료부장 역임
- 김해 무릅편한정형외과 원장 역임
- 대한의사협회 비상대책위원 역임
- 중앙일보 헬스미디어 의료자문위원 역임
- 국민연금공단 자문의사 역임
- 통증 메조테라피 코스 수료
- TPI 주사자극치료 교육이수
- 대한정형외과학회 정회원
- 대한슬관절학회 정회원
- 대한관절경학회 정회원
논문
- ·LCS mobile bearing knee system을 이용한 슬관절 전치환술
- ·요골 원위부 관절내 골절의 비관혈적 수술 후의 임상적 결과
- ·최소 감압술에 의한 퇴행성 요츄관 협착증의 치료
안연정 원장
소화기내과 내시경 전문의
내과
소화기계 위장질환, 건강검진, 위·대장 용종 절제술, 위장관 내시경 지혈술
약력
- 현) 연산당당한방병원 내과진료원장
- 전) 영채내과의원 과장
- 경상대학교 의과대학 졸업
- 경상대학교병원 소화기내과 전임의
- 대한 내과학회 회원
- 대한 소화기내시경학회 회원
- 대한 임상초음파학회 회원
- 대한 간학회 회원
- 한국 심초음파학회 회원
논문
- ·A Case of Perforated Xanthogranulomatous Cholecystitis Presenting as Biloma. Korean J Gastroenterol 2011;58:153-156
- ·United Rapid Urease Test Is Superior than Separate Test in Detecting Helicobacter pylori at the Gastric Antrum and Body Specimens. Clin End