051-861-7575

전체메뉴

연산당당한방병원은
언제나 여러분들
곁에 있습니다.
  • 상호명 : 연산당당한방병원
  • 대표자 : 성진욱
  • 사업자등록번호 : 154-59-00644
  • 주소 : 부산광역시 연제구 월드컵대로 82, 1~8층

거북목/굽은등

아픈 사람의 90%는
목에 문제가 있다!

몸에 이상이 느껴지면 목부터 의심해야 합니다.

통증 없는 일상을 위해 목부터 교정해보세요!

목은 뇌의 일부이자, 자율신경을 조절하는 중추입니다.

목근육의 만성피로와
거북목자세

근육 뭉침과
목뼈의 틀어짐

뇌혈류 및 뇌척수액의 순환저하로
뇌빈혈 및 뇌척수신경의 기능저하

목이상의 3대 증상
(두통, 어지럼증, 자율신경실조증)발생

중추성 통각과민으로
뇌의 과민성 증가

자율신경실조증 등
다양한 신체증상 발생

심각해지면 우울증,
틱장애 등 발생

내 몸이 무너지는 첫신호 거북목, 굽은등!
방치하면 목디스크를 유발합니다.

머리가 앞으로 빠질수록 목이 더 많은 하중을 견뎌야 합니다.

정상목 일자목 거북목
유형
각도 정상 각도 15도 60도
목이 견디는 하중 5.5kg 내외 12kg 내외 28.6kg 내외

거북목은 다양한 증상을 유발합니다.

  • 경추 1번두통, 만성피로, 불안, 불면 등
  • 경추 2번알러지, 비염, 안질환, 이명 등
  • 경추 3번안면경련, 여드름, 안면통 등
  • 경추 4번목 하부 및 어깨 통증, 아데노이드 등
  • 경추 5번목쉼, 목 쓰라림, 편도선염 등
  • 경추 6번상복부 통증, 목 뻣뻣함, 목 경직 등
  • 경추 7번팔 저림 및 마비, 갑상선 이상 등

스마트폰이 대중화된 2010년 이후 목 디스크 환자 수가 증가했고 특히, 40대 환자 수가 급증했습니다.
경추(목뼈)가 일자로 변하면 충격 완화 능력이 떨어지고, 디스크가 지속적인 압박을 받아
목디스크를 유발하거나 퇴행성 질환이 야기될 수 있습니다.

일자목/거북목 증상이 심하다면 목디스크로 진행되기 전에 치료가 필요합니다.

굽은등 환자의 대부분이 거북목까지 가지고 있습니다.

거북목은 굽은등 때문에 생기는 경우가 많기 때문에 거북목과 굽은등은 다른 질환이 아닙니다.
그래서 함께 치료해야 합니다.

“거북목, 굽은등의 근본원인은 무엇일까요?”
  1. 턱관절의 틀어짐에 의한 목뼈 1,2번의 틀어짐
  2. 골반의 틀어짐에 따라 목뼈가 연쇄적으로 틀어짐

거북목과 굽은등을 제대로 치료하기 위해서는 턱과 골반을 함께 교정해야 목, 어깨의 만성 통증을 개선하고 재발을 예방하는 효과를 기대할 수 있습니다.

당당의 거북목·굽은등 치료
왜 특별할까요?

당당의 거북목 굽은등 양한방 통합치료 프로그램은 자세를 교정하는 효과만 있는 것이 아니라
결과적으로 통증, 만성피로, 부종 등의 2차적인 불편함을 해결하여 삶에 활력을 더합니다.

Differentiation 01.

턱관절 + 경추 + 척추 + 골반을 함께 교정

몸은 도미노처럼 연쇄적으로 틀어지기 때문에 한 부위만 교정하는 것으로는 문제가 해결되지 않습니다. 대부분의 거북목과 굽은등은 턱관절 불균형, 어깨비대칭, 골반틀어짐, 척추휘어짐을 동반하기 때문에 함께 교정하는 것이 좋습니다.
Differentiation 02.

추나 + 도수 + 자세교정운동 복합교정

관절과 척추의 교정에 탁월한 추나요법과 근육과 근막의 치료에 특장점이 있는 도수치료를 결합해 더하기가 아닌 곱하기의 효과를 냅니다. 여기에 오랜 연구와 당당의 노하우로 만들어낸 거북목∙굽은등 교정운동을 더하여 치료의 질을 높였습니다.
Differentiation 03.

내장기 원인 치료

위와 장의 문제를 동반한 경우 내장기의 긴장이 목과 어깨의 긴장을 유발해 거북목과 굽은등을 만들 수 있습니다. 위가 딱딱하게 굳어져서 펴지지 않으면 구부정한 자세가 만들어집니다. 내장기의 문제를 함께 교정할 때 등과 목이 더 빨리 펴집니다.
Differentiation 04.

턱관절 교정기와
카이프론 맞춤형 깔창 치료

거북목과 굽은등의 원인이 턱에 있거나 발에 있는 경우 교정장치를 활용하여 치료 속도를 높이고 재발을 방지 합니다.

이제는 하세요!

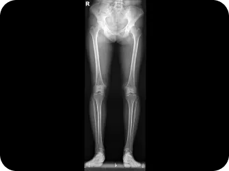
전신 엑스레이 검사
다리길이 엑스레이 검사
모아레 근육 균형 검사
족압분석검사
스텝랩 보행검사
턱관절 균형검사
부위별 근력검사
체성분 검사
적외선 체열검사
스킨 롤링 근막검사
척추 회전 각도 검사
스트레스 검사
내장기 균형검사
경골 및 종골 각도 검사

개인별 맞춤 치료를 원칙으로
거북목/굽은등 증후군을 치료합니다.

원인 치료
  • 하향패턴 턱관절 및 경추 교정
  • 상향패턴 족부 골반 교정 치료
  • Vit D, 미네랄 검사등 기능의학치료
  • 내장기센서의 긴장 치료
  • 생활습관교정
자세교정 치료
  • 척추 및 골반 추나치료
  • 자세유지근 교정 도수치료요법
  • 근막이완 롤핑요법
  • 근육 불균형 교정 운동
  • 턱관절 교정기
  • 맞춤깔창치료

개인별 4단계 맞춤 교정

일반적인 교정 프로그램이 아닙니다.
부위별 통증 치료부터 개개인의 상태에 따른 정밀한 교정을 지향하며
재발 예방을 위한 운동은 물론, 교정이 끝난 후에도 자세를 유지할 수 있게 도와드립니다.

내 몸이 무너지는 첫 신호인 거북목과 굽은등
아픈사람의 90%는 목에 문제가 있다는 걸 알고 계시나요?
통증 없는 일상의 시작은 목교정부터 시작 해야합니다.
다시 생각해도 거북목&굽은등 교정
연산당당한방병원입니다.
Q&A

모든 궁금증,
연산당당이 풀어드립니다.

거북목이나 굽은등 교정시 추나요법이 아프지 않을까 걱정되요.
손목과 손의 힘(압력)을 미세하게 조절하여 개인의 상태, 통증의 정도에 맞게 추나요법을 진행합니다. 추나요법 중에서도 경근추나요법 치료는 통증이나 부작용을 줄여 부드러운 교정이 가능해 어린이부터 노약자까지 편안한 치료가 가능합니다.
교정 후에 다시 거북목이 재발하지 않나요?
거북목은 단순히 목의 문제만이 아니라 발목과 골반 척추 어깨의 문제와 함께 결부되어 있습니다. 목만 집중적으로 치료해서 잠시 호전되었다면 얼마 지나지 않아서 재발하게 됩니다. 하지만 거북목이 오게 된 골반의 전방경사, 평발, 보행, 짧아진 가슴 앞쪽 근육을 풀어주는 등 거북목이 생긴 환경을 없애고 유지하기 위한 생활습관 교정과 자세교육을 통해 재발률을 낮춥니다.
거북목, 일자목 방치하면 목디스크가 되나요?
거북목과 일자목을 방치하면 목뼈에 가해지는 비정상적인 압력으로 디스크가 손상되고, 결국 목디스크(경추 추간판 탈출증)로 진행될 가능성이 높습니다. 목뼈의 자연스러운 C자 커브가 소실되면 디스크에 압박이 심해져 목과 어깨 통증, 팔과 손 저림, 목의 움직임 제한될 수 있습니다. 심한 경우 근력 약화와 감각 둔화 같은 증상이 나타날 수 있습니다.
추나 혹은 도수치료 만으로 교정이 가능할까요?
거북목이나 굽은 등이 있을 경우, 추나요법과 도수치료를 병행하는 것이 더 효과적입니다.
추나요법은 한의학적 원리 기반으로 틀어진 척추와 관절을 바로잡아 몸의 균형을 회복시키는 데 중점을 두며 특히 관절의 정렬을 회복하고 신체 기울기를 바로잡는 데 효과적입니다.
도수치료는 물리치료사의 손을 통해 근육과 인대를 직접적으로 풀어주고 강화하여 통증을 완화하고 신체의 기능을 회복시키는 데 도움을 줍니다.
추나요법으로 척추와 관절 정렬을 바로잡고, 도수치료로 근육 강화 및 유연성을 개선하면 재발 방지와 장기적인 체형 개선에 더 유리합니다. 충분히 상담하여 자신의 상태에 맞는 치료 계획을 세우십시오.

연산당당한방병원
Before & After

해당 사진은 수정없는 실제 치료사진입니다.
환자의 치료결과는 환자의 상태, 치료방법 등에 따라 차이가 발생할 수 있습니다.

찾아오시는 길

부산광역시 연제구 월드컵대로 82, 1~8층

건물 주차장 무료 이용 가능합니다.

지하철 이용 시

1호선3호선 연산역 6번 출구에서 도보 460m

버스 이용 시

51번, 189번
  • 반도보라아파트
    하차 후 약 240m 거리 (물만골 방향)
  • 연산초등학교
    하차 후 약 200m 거리 (연산역 방향)

내원 전 간편하게 예약하세요!

홈페이지 내에 있는 모든 사진, 이미지, 디자인, 페이지에 대한 저작권 등의 권리는 연산당당한방병원에게 있습니다.
따라서 연산당당한방병원의 허락 없이 표절, 무단도용, 재편집을 금지합니다.

빠른상담

상담 신청을 위한 정보를 남겨주시면
보다 빠른 상담이 가능합니다.

로그인 후 이용해주세요.