051-861-7575

전체메뉴

연산당당한방병원은
언제나 여러분들
곁에 있습니다.
  • 상호명 : 연산당당한방병원
  • 대표자 : 성진욱
  • 사업자등록번호 : 154-59-00644
  • 주소 : 부산광역시 연제구 월드컵대로 82, 1~8층

턱관절 교정치료

턱관절 불균형 교정 알려드릴게요!

턱관절 불균형 교정 알려드릴게요!

내몸이 틀어지는 이유는 뭘까?

내몸이 틀어지는 이유는 뭘까?

[통사장] 턱관절교정, 한의원에서는 어떻게 할까?│턱소리, 턱통증, 개구장애 모두다 모여라~

[통사장] 턱관절교정, 한의원에서는 어떻게 할까?│턱소리, 턱통증, 개구장애 모두다 모여라~

[통사장] 턱관절 소리, 통증, 개구장애 여기로 모여!│턱관절 문제로 인한 증상들?!

[통사장] 턱관절 소리, 통증, 개구장애 여기로 모여!│턱관절 문제로 인한 증상들?!

[통사장] 알고보니 내 턱에 문제가?│턱관절 문제 자가진단법 BEST5

[통사장] 알고보니 내 턱에 문제가?│턱관절 문제 자가진단법 BEST5

턱관절 교정의 핵심?
두개골과 경추를 함께 교정하는 것!

턱관절 교정 치료, 한방에서 해야하는 이유?

치아 교정과 턱관절 교정은 다른 치료법입니다.
턱관절 교정을 위해 반드시 치아 교정을 해야하는 경우는 많지 않습니다.
특수한 경우가 아니라면 턱의 위치를 바로 잡은 다음 치아 교정을 해도 됩니다.

연산당당한방병원의 턱관절 교정

턱관절은 목뼈 1,2번 및 두개골과 함께 움직이기 때문에 턱관절에 문제가 생기면 목뼈과 두개골은 함께 틀어지게 됩니다.

따라서 턱관절 교정시 추나요법과 두개천골요법을 이용하여 목뼈 1,2번과 후두골, 측두골, 나비뼈를 동시에 교정하는 것이 치료효과를 높이고 재발률을 감소시키므로 한의학 치료가 꼭 필요합니다.

당당 턱관절 장애

당당에서는 턱관절 검사뿐만 아니라 체형검사 결과 나타나는 체형불균형을 함께 치료하기 때문에
턱관절 장애의 치료율은 높아지고 재발률은 낮아집니다.

턱관절 복합치료

턱관절 장애의 원인이 될 수 있는
턱관절+두개골+척추+골반의 불균형을
함께 치료합니다

면역계 안정화 치료

턱관절 불균형으로 인한 만성피로,
호르몬 장애, 자율신경실조, 면역장애,
소뇌 기능 장애 등을 치료합니다.

2차 질환 개선

척추 신경과 관련된 눈, 코, 입, 귀, 혀의
질환뿐 아니라 내부 장기 질환까지
같이 치료합니다.

턱에서 소리 나면 몸에서는 소리 난다?

턱관절의 문제는
만성적인 통증의 원인이 됩니다.
턱관절, 방치하면 전신 질환으로
이어질 수 있습니다.
  • 턱관절 목뼈 1번,
    2번 두개골 이상
  • 중추신경계 및
    뇌기능저하
  • 뇌의 전신 조절
    기능 상실
  • 척추 관절
    기능 저하
  • 각종 전신 질환
    발생

근육 긴장

만성피로 / 두통 · 편두통 / 현훈 · 이명 / 오심 · 매핵기 / 후두통 · 경추통

경추 틀어짐

일자목 / 거북목 / 편평등 / 오십견 / 목디스크

안면비대칭

흉추 틀어짐

측만 / 전만 / 후만

뇌기능 장애

호르몬 장애 / 자율신경실조 / 면역 장애 / 소뇌기능 장애

요추 틀어짐

허리디스크 / 협착증 / 전방전위증

골반 틀어짐

골반외경 / 골반전후경 / 골반회전 / 좌골신경통 / 꼬리뼈 증후군

다리 틀어짐

휜다리 / 오다리 / 엑스다리

당당 턱관절 치료

두개골 + 턱관절 + 상부 경추 (목뼈 1, 2번) 교정이 중요합니다.

우리 몸 중 움직임이 가장 많은 턱관절은 상부 경추 (목뼈 1,2번)를 중심축으로 움직입니다.
이 상부 경추가 틀어지면 후두골을 제대로 받치지 못하고, 두개골 또한 점점 틀어져 안면비대칭이 나타나게 됩니다.

턱관절은 12개의 신경 중
9개가 지나가는 중요한 부위입니다.
턱관절 이상 (뇌로 올라가는 신경과 혈관이 꼬인 상태)이 있으면 목뼈 1번, 2번과 두개골에 이상 (중추신경계 기능저하)을 초래하며 전신의 구조와 기능에 이상을 일으켜 전신질환을 일으킵니다.

당당은 인체를 각각의 기관이 아니라
‘서로 연결되어 있는 유기체’로 봅니다.

환자의 치료에 있어서 질환의 증상(턱관절 소리, 통증 등 겉으로 드러나는 증상) 해결에만 치중하는 것이 아니라 질환의 원인이 되는 몸의 구조적인 문제(경추 틀어짐으로 인한 턱관절 이상 등)를 찾아 개선함으로써 증상과 몸의 기능 이상이 ‘스스로 회복될 수 있도록’ 합니다.

01
핵심치료
안면 추나요법
턱관절 신연기법과 교정기법 및
외측익돌근의 이완기법 시행
상부경추 및 두개골 추나요법
2번 경추(축추골)를 중심축으로 움직이는
턱관절 문제가 심하다면 상부경추 교정 필요
CST테크닉 (두개천골요법)
후두골/경추의 압박 완화, 뇌척수액 흐름 정상화,
전신 근육의 긴장을 이완 치료
맞춤형 턱교정장치
양쪽 턱관절 높이 차이를 정교하게 수정해서
턱관절을 편안한 위치로 만드는 개인별 맞춤 치료
표준형 턱교정장치(CTA)
잠을 자거나 평상시 턱관절이 편안한 위치에
자리할 수 있도록 해주는 구강 내 장치
두개 안면 도수치료
교근, 측두근, 내외익상근 등 안면 근육과 후두하근 SCM 같은 목에서 얼굴로 연결되는 근육 밸런스 치료
02
기능보완치료
연부조직 복원 레이저
턱관절 주변의 연부조직의 혈류순환을 개선하여 조직 재생, 턱관절 주변 인대, 디스크, 근육을 치료
베개를 이용한 기법
후두골(머리 뒤뼈)과 1번 경추 사이의 근육을 압박하여 경추와 두개골 긴장을 완화
하관 침
외익돌근 턱관절을 움직이는 근육에 직접 자극을 줄 수 있는
하관혈에 침을 시술하여 턱관절 긴장완화
안면근육 전침
안면부 근육의 과긴장과 불균형을 바로 잡음

나도 혹시? 미리 체크해보는 자가진단 테스트

턱관절장애 자가진단 테스트

  • 치아의 교합이 맞지 않다.
  • 턱 주변에 원인모를 통증이 있다.
  • 입을 벌릴 때 턱관절에서 ‘딸깍’ 또는 ‘사각사각’ 긁히는 소리가 난다.
  • 손가락 3개를 세로로 세워서 입안에 넣을 수 없다.
  • 입을 열거나 닫을 때 턱이 Z자 형태로 움직인다.
  • 잘 때 이를 가는 편이다.
0개에 해당합니다.
위 증상에서 3가지 이상 해당 시 턱관절장애의 가능성이 높은 편이니, 진료를 받아보시기 바랍니다.

이제는 하세요!

당당 턱관절 검사 프로세스

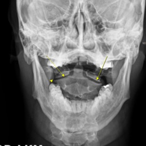
안면 두개골 엑스레이 검사
Submento Vertex View 포함
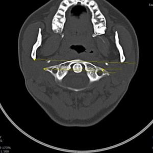
안면 두개골 CT
경추 1,2번의 변위 파악
턱관절 디스크 및 연조직 초음파
디스크 두께 파악
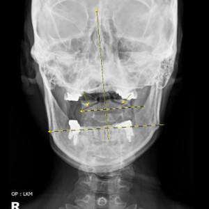
안면 균형검사
턱의 다양한 각도 사진 촬영
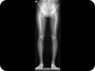
전신 엑스레이 검사
턱, 어깨 높이, 골반 틀어짐, 부정렬
다리길이 엑스레이 검사
모아레 근육 균형 검사
부정교합검사
1,2,3단계 부정교합 유무 파악
이유를 모르는 만성 통증의 원인이 되는 턱관절 문제
20년간의 진료 경험을 바탕으로한 턱관절 복합 치료로 턱관절 뿐만 아니라 전신 통증 개선까지 도와드리겠습니다.
다시 생각해도 턱관절 교정 치료
연산당당한방병원입니다.
Q&A

모든 궁금증,
연산당당이 풀어드립니다.

저는 턱관절통증과 소리가 심하지 않고 두통과 어지럼증 목통증이 심한데 왜 턱관절에 문제가 있다고 하나요?
턱관절장애(TMJ)는 단순히 턱관절 자체의 통증이나 소리에 국한되지 않고 광범위한 질환입니다. 신경학적 관점에서 살펴보면, 삼차신경과 밀접하게 연결되어 있어 턱관절의 문제가 두통, 목통증, 어지럼증과 같은 예상치 못한 증상을 유발할 수 있습니다. 특히 근육의 긴장과 경직은 주변 신경계에 직접적이고 광범위한 영향을 미치게 됩니다.
또한 근육의 연쇄 반응 측면에서, 턱관절 불균형은 목, 어깨, 두개골 근육에 연쇄적인 영향을 미칩니다.
생체역학적 측면에서도 잘못된 교합, 이갈이, 스트레스로 인한 근육 긴장 등 다양한 요인들이 복합적으로 작용하여 광범위한 증상을 유발할 수 있습니다. 따라서 턱에 직접적인 소리나 통증이 없더라도, 턱관절의 이차적인 문제로 인해 두통, 목통증, 어지럼증 등이 발생할 수 있다는 점을 인지해야 합니다.
턱에서 나는 소리가 오래되었는데 치료 받으면 소리가 사라지나요?
턱에서 소리가 나는 이유는 음식을 씹을때 턱관절을 앞으로 잡아 당기는 외익상근이 지나치게 긴장되어 턱관절 디스크를 빠르게 잡아 당기거나, 디스크가 닳았거나 디스크 후면부의 인대가 늘어난 경우 등 다양합니다.
턱의 소리가 오래되지 않아서 근육의 긴장만 있는 경우 치료 후 소리의 감소가 빠른 편이나 인대의 문제일 경우 턱의 위치를 교정후 인대를 강화하는 치료를 추가적으로 해서 더 줄일수 있습니다. 디스크가 닳아버린 문제라면 치료후에도 소리가 남을수 있습니다. CT와 초음파등의 영상진단을 통해 치료 예후와 경과를 확인 가능합니다.
턱관절 검사에 전신 척추를 촬영·검사하는 이유가 무엇인가요?
턱관절과 척추가 신체 정렬과 기능에 밀접하게 연결되어 있기 때문입니다. 턱관절 문제는 목뼈를 포함한 척추 정렬에 영향을 미치며, 이는 전신적인 불균형을 초래할 수 있습니다. 또한 턱관절과 척추는 근육 및 신경계를 통해 상호작용하므로, 턱관절 이상은 목과 어깨는 물론 척추 전체에도 연쇄적인 영향을 미칠 가능성이 있습니다. 전신 척추 촬영은 턱관절 문제의 정확한 원인을 파악하고, 자세와 정렬의 이상을 분석하여 근본적인 치료 전략을 세우기 위해 필수적입니다.
턱에서 소리가 나지만 통증이 없으면 치료가 필요 없나요?
턱에서 소리가 나더라도 통증이 없는 상황을 방치하는 것은 위험할 수 있습니다. 턱관절 문제는 시간이 지날수록 관절의 점진적 손상을 일으킬 가능성이 높으며, 관절 내 연골이 마모되거나 디스크가 더 크게 손상될 수 있습니다.
따라서 통증이 없더라도 턱에서 소리가 나는 증상을 간과하지 말고, 예방적 조치를 통해 관절 문제의 진행을 막는 것이 중요합니다. 전문가의 정확한 진단과 관리 계획을 통해 장기적으로 더 심각한 문제를 방지하는 것이 최선의 방법입니다.

연산당당한방병원
Before & After

해당 사진은 수정없는 실제 치료사진입니다.
환자의 치료결과는 환자의 상태, 치료방법 등에 따라 차이가 발생할 수 있습니다.

찾아오시는 길

부산광역시 연제구 월드컵대로 82, 1~8층

건물 주차장 무료 이용 가능합니다.

지하철 이용 시

1호선3호선 연산역 6번 출구에서 도보 460m

버스 이용 시

51번, 189번
  • 반도보라아파트
    하차 후 약 240m 거리 (물만골 방향)
  • 연산초등학교
    하차 후 약 200m 거리 (연산역 방향)

내원 전 간편하게 예약하세요!

홈페이지 내에 있는 모든 사진, 이미지, 디자인, 페이지에 대한 저작권 등의 권리는 연산당당한방병원에게 있습니다.
따라서 연산당당한방병원의 허락 없이 표절, 무단도용, 재편집을 금지합니다.

빠른상담

상담 신청을 위한 정보를 남겨주시면
보다 빠른 상담이 가능합니다.

로그인 후 이용해주세요.