051-861-7575

전체메뉴

연산당당한방병원은
언제나 여러분들
곁에 있습니다.
  • 상호명 : 연산당당한방병원
  • 대표자 : 성진욱
  • 사업자등록번호 : 154-59-00644
  • 주소 : 부산광역시 연제구 월드컵대로 82, 1~8층

맞춤깔창

제대로 된 족부 교정 장치를 배우기 위해
프랑스에 직접 다녀왔습니다.

작은 차이, 큰 변화
더 건강하고, 편안한 발을 가지는 방법은 당당을 만나는 것입니다.

족부전문
프랑스 CAPRON(카이프론)

당당제휴 협약업체입니다.

CAPRON(카이프론)은 1974년 족부전문의 capron 박사가 프랑스에서 설립한 회사로 전 세계 열성형 인솔부분 1위를 수성하고 있는 회사입니다.
현재 유럽 각국, 호주, 미국, 브라질, 캐나다, 중동, 러시아, 일본 등 전 세계인들이 카이프론 제품을 사용 중입니다.

카이프론이 가지고 있는
의료용 인솔의 수준은
가히 독보적입니다.

카이프론 인솔은 하나의 인솔로 여러 질환을 치료하는 것이 아니라, 발의 다양한 질환의 특성을 반영해 질환에 따른 독립된 인솔을 제공합니다.
우리나라에서는 당당이 처음으로 CAPRON(카이프론)과 파트너쉽을 맺고 사용하게 되었습니다.

한국의 많은 인솔 업체들 대신
프랑스에서 인솔 제작을 배운 이유

일반적인 국내 인솔 업체의 제품은 대부분 하드 타입으로, 발바닥을 지지하는 프레임이 플라스틱 재질입니다.
발이 유연하고 적응력이 뛰어난 유아, 소아, 청소년들은 하드 타입 인솔을 큰 불편감 없이 착용하기도 하지만,
발목과 발이 경직된 상태인 중장년층들은 착용 시 통증과 불편감을 호소하는 사례가 많습니다.

유아, 소아, 청소년의 경우 또한 한창 뛰어놀 나이에 하드 타입 인솔을 착용시키면서 달리지 말라고 이야기하는 것은 잘못되었다고 생각했습니다.

하드 타입의 인솔의 한계

관련 교과 서적에는 발의 아치가 보행 시
8~12mm 정도 움직이면서 충격을 흡수한다고 쓰여 있고, 이같은 움직임이 발생할 때 발바닥 아래 내재근이 활성화되며 아치를 만드는 근육이 강해지게 됩니다.

하지만 하드 타입의 인솔은 보행 시 발 아치가 움직이지 않도록 고정하여 내재근 활성화가 쉽지 않습니다.

제작 및 배송의 한계

제작 및 배송의 문제 또한 큽니다.
당장 발이 불편하여 깔창 착용을 원하는 환자 또한 검사부터 제작까지 약 1주일 가량 소모하여 택배로 제품을 받아야 했습니다.
제작이 잘못되었거나, 착용 시 불편감으로 인해 AS를 받아야 하는 경우 다시 1주일을 기다려야 합니다.

때문에 검사 즉시 제작이 가능하고, 인솔을 착용 후 달리거나 점프를 해도 불편하지 않으며, 재수정이 용이하고, 질환 및 착용 신발에 따른 다양한 소재와 액세서리 라인업을 갖춘

역사와 전통의
프랑스 카이프론 사를
발견한 순간
인솔 제작 방법을 배우기 위해 무작정 프랑스로 날아가게 되었습니다.

Differentiation 01.

폼박스의 문제점 보완

폼 박스를 이용한 족문 프린팅 방식은 정확한 아치 높이 측정이 불가하고 본 뜨는 과정에서 발 아치가 무너지거나 후족부 정렬이 틀어질 수 있어 정확한 발의 형태를 얻기 어렵습니다.

▲ 발아치 올리는 장면

▲ 발본 떠서 나오는 장면

반면 Vitropress를 이용한 방식은 발의 형상을 그대로 본 뜨면서 아치의 높이만 중력 수직선에 맞도록 조절할 수 있기 때문에 보다 정확한 아치 높이로 제작 가능합니다.
Differentiation 02.

재성형 가능

일반 맞춤 깔창과 카이프론 열성형 인솔은 수정 방식에서 차이가 있습니다. 일반 맞춤깔창은 수정이 필요할 때 플라스틱으로 된 기본 프레임에 패드를 덧붙이는 방식으로만 수정이 가능하고 아치 높이를 조절하기 위해 새로 제작해야 하는 번거로움이 있습니다.

반면, 카이프론 열성형 인솔은 착용 후 아치 높이 조절이 필요할 때 다시 열성형을 통해 처음 제작하는 것 처럼 재성형이 가능하고 최대 5번까지 할 수 있다는 장점이 있습니다.

Differentiation 03.

족부보조기 제작 대회에서
최고 혁신제품상을 받은 장비

기존 인솔은 신발 종류에 따라 착용이 힘든 경우가 많았지만 카이프론은 커스텀 디자인과 재단을 통해 구두, 하이힐, 안전화 등 기존 인솔로 착용할 수 없었던 대부분의 신발에 적용 가능합니다.

Differentiation 04.

강도 조절이 가능한 다양한 인솔

운동화, 작업화, 구두, 스니커즈, 등산화,
골프화, 축구화, 스키화, 안전화 등
다양한 직업과 취미, 라이프 스타일을 고려한
족부 교정 장치를 제공합니다.

▲ 충격흡수테스트

당당의 족부 교정 장치는?

발 건강을 결정짓는 작은 차이!

  1. 오른발, 왼발 다르게 제작 가능
  2. 보행 시, 내 발에 맞춰 움직임
  3. 복합 질환에도 사용 가능
    ex) 퇴행성 무릎 관절염을 동반한 경우
  4. 제일 중요한 아치부분의 높이와 길이까지 고려
  5. 충격흡수, 피로경감, 압력분산, 안정성 향상
  6. 섬세한 전문가의 노하우
Why it is
DangDang

왜 당당 족부 교정 장치인가요?

보이지 않는 부분까지 세심하게 챙겼으니까!

Special 1.

맞춤형 족부 교정 장치

열성형 기기와 다양한 인솔(맞춤 깔창) 소재를 통해 증상과 발의 형태에 따라 어떤 유형의 발에도 맞춤형으로 제작할 수 있습니다.

Special 2.

기다림 없는 원내 직접 제작

대략 20분 만에 새로운 족부 교정 장치를 만들 수 있고,
제작을 위해 연산당당한방병원으로 내원 하신 날 즉시
맞춤형 인솔이 제작 가능합니다.

Special 3.

내 신발에 따라 달라지는 진짜 맞춤형

기존의 인솔은 신발 종류에 따라 착용 시 한계가 있었으나
카이프론 제작 방식은 가지고 오신 신발에 맞게 인솔을 디자인하고
재단을 통해 구두나 하이힐, 단화 등
기존에 인솔을 착용할 수 없었던 신발에도 착용 가능합니다.

Special 4.

라이프 스타일에 맞춘 다양한 인솔

운동화, 작업화, 구두, 스니커즈, 등산화, 골프화, 축구화, 스키화, 안전화 등
다양한 직업과 취미, 라이프 스타일을 고려한 족부 교정 장치를 제공합니다.

Special 5.

매년 신소재와 액세서리 업데이트

오랜 임상 경험과 연구를 바탕으로, 부위별로 신소재를 사용해
족부의 신체 리듬을 손상시키지 않으면서도 충격흡수, 피로경감,
압력분산, 안정성을 향상하였습니다.
매년 끊임없이 신소재와 액세서리를 출시하여
더욱 더 많은 질환에 대한 처방이 가능하도록 발전하고 있습니다.

Special 6.

신체의 변화에 따른 자유로운 수정

처방받은 족부 교정 장치를 착용하고 일상생활을 하다보면
점차 걸음걸이와 족부, 체형이 교정되어 모양이 달라지기 때문에
기존 장치가 맞지 않을 수 있습니다. 수정이 필요할 때 새로운 장치를
제작할 필요 없이, 열성형 기법을 통해 재성형이 가능하여
비용과 시간을 절약합니다.

Special 7.

적응기간 없이 착용 즉시 편안한 교정

하드 타입 깔창은 소재가 딱딱하여 착용 초기에 불편하기 때문에
대략 2~4주 정도의 적응 기간이 필요하며, 착용 시간을 30분에서 1시간, 1시간에서 2시간으로 점차 늘려나가는 방식으로 교정하게 됩니다.
하지만 카이프론 족부 교정 장치는 보행 시 발 아치의 움직임을
제한하지 않으며, 개인의 발 모양과 완벽하게 일치하기 때문에
따로 적응 기간을 가질 필요 없이 착용 즉시 편안하게 교정 효과를 보실 수 있습니다.

맞춤 깔창 적용 가능 질환

평발, 요족,
족저근막염, 무지외반증
발뒤꿈치 통증, 아킬레스건염,
티눈, 굳은살
지간신경종, 발목 염좌,
중족골통, 망치발가락
갈퀴발가락, 당뇨병성,
족부궤양, 통풍
골관절염, 류마티스 관절염,
족저 사마귀, 발목 불안정성

당당 족부 교정장치의 효과

발의 아치가 무너지거나 발목 관절이 틀어지면 연쇄적으로 척추, 골반 불균형과 다리 길이 차이를 유발할 수 있습니다. 연산당당 족부 교정 장치는 이러한 전신의 구조 문제를 개선하기 위해 발의 아치와 발목 관절을 제자리로 교정합니다.

발과 걸음걸이 교정
올바른 체형 개선
척추/관절 손상 방지
통증 완화

논문으로 입증된 효과

당당의 맞춤형 깔창

후향적 연구를 통한 맞춤형 족부보조기와 한방치료를 병행한 편평족 환자의 인체중심선 변화에 대한 연구

당당 족부 교정장치
제작 프로세스

▲ 의료진 직접 처방
▲ 그라인딩 작업
▲ 흡착하는 모습

STEP 01

발본뜨기

STEP 02

밑창 디자인하기

STEP 03

바른 신체 정렬 만들기

STEP 04

발의 아치를 만들어 족형 뜨기

STEP 05

열 성형 하기

STEP 06

떠 놓은 족형에 인솔 굳히기

STEP 07

그라인딩 작업

STEP 08

필요 시 액세서리 추가 부착

나도 혹시? 미리 체크해보는 자가진단 테스트

족부교정 자가진단 테스트

  • 하루 4시간 이상 서서 일 한다.
  • 당뇨병이 있다.
  • 발의 특정 부위에 통증이 있다.
  • 무릎, 골반에 통증이 있다.
  • 운동 경기력을 향상하고자 한다.
  • O/X 다리 또는 휜다리다.
  • 평발 또는 요족이다.
  • 오래 걸으면 쉽게 피로를 느낀다.
  • 족저근막염이나 지간신경종, 무지외반증이 있다.
0개에 해당합니다.
위 증상에서 3가지 이상 해당 시 맞춤깔창이 필요할 수 있으니, 진료를 받아보시기 바랍니다.

이제는 하세요!

당당 족부 검사 프로세스

족문 및 종골각도검사
족압분석검사
다리길이 측정
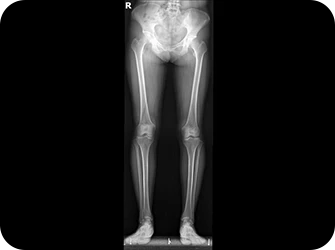
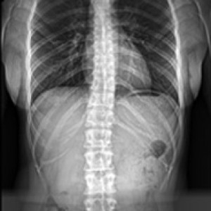
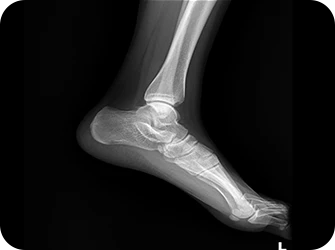
엑스레이 검사

연산당당한방병원 카이프론 족부교정 프로그램

물리치료
발바닥 내재근 활성화
발 아치 만들기
발 아치 만들기 운동
STEP lab 보행 분석
정상보행 인지치료
큐보드 운동
종아리 근육 이완
롤핑요법
발의 정상적인 움직임
침, 전침치료
경근 균형 침과 전침치료
근이완약침
족부내재근과 외재근의 긴장완화
아치강화운동
후경골근 근육 강화
딱딱한 플라스틱 인솔로 발이 불편하셨다면
프랑스 Capron 사의 혁신적인 열성형 인솔이 그 고민을 해결해 드립니다.

50년 족부 전문 기술로 개발된 프리미엄 소재와 열성형 기술이 만나 충격 흡수와 압력 분산으로 장시간 걸어도 편안하며 자세 교정 효과까지
지금 당신의 발이 누려야 할 진정한 편안함
연산당당한방병원에서 시작하세요.
Q&A

모든 궁금증,
연산당당이 풀어드립니다.

한번 처방받은 맞충형 인솔은 어느 정도 기간 동안 사용 가능한가요?
성인 기준 일상 중 하루종일 착용하면서 1~2시간 정도는 보행을 하는 기준으로 했을 때 보통 3~5년 정도 사용할 수 있습니다. 사용 빈도가 낮은 경우는 7년~8년 정도 사용가능합니다.
맞춤깔창이 손상되거나 수리가 필요한 경우에는 어떻게 하나요?
시간이 지나 깔창이 변형되거나 불편함이 생길 경우 즉시 수선이 가능하며 악세사리가 떨어지거나 헤질 경우 교체 가능합니다. 또한 착용과정에서 발아치의 높이가 달라지거나 족부의 정렬이 처음과 달리 교정으로 호전된 경우 인솔에 열을 가해 재성형이 가능하다는 것이 카이프론 깔창의 장점입니다.
맞춤형 족부깔창과 기성제품은 어떤 차이가 있나요?
맞춤형 족부 깔창과 기성제품은 발 문제를 다루는 방식에서 차이가 있습니다. 맞춤형 깔창은 환자의 발 상태를 정밀 검사한 후 제작되며, 평발, 요족, 족저근막염 등 특수한 문제를 교정하거나 보조하는 데 효과적입니다. 반면, 기성 깔창은 일반적인 발 모양에 맞춰 생산되므로 개인의 발 구조나 불균형을 제대로 반영하지 못하는 경우가 많습니다. 기성제품은 가볍게 피로를 완화하거나 편안함을 줄 수 있지만, 발 질환의 근본적인 문제를 해결하기에는 한계가 있습니다. 따라서 족부 질환이나 비정상적인 체중 분포로 인한 불편함이 있다면 맞춤형 깔창이 보다 적합하며, 정확한 진단 후 사용하는 것이 중요합니다.
오래 착용한 맞춤 깔창, 수정이 꼭 필요한가요?
보통 족부 교정 장치를 3개월 정도 착용하게 되면, 발이 교정되는 과정에서 발 모양이 변하게 됩니다. 이 때, 틀어진 발을 바로잡는 과정에서 체형도 그대로 영향을 받습니다. 변한 발의 모양과 체형에 따라 깔창을 수정하지 않으면, 오히려 불균형을 유발할 수 있기 때문에 맞춤 깔창(족부 교정 장치)를 처방 받고자 하신다면, 꼭 일정 기간 착용 후 재수정이 가능한 병원인지 확인하고 내원하시는 것이 중요합니다. 연산당당한방병원의 족부 교정 장치는 열성형 기법으로 기존에 사용하시던 장치를 자유롭게 재수정할 수 있어, 체형이 변할 때마다 새 깔창을 맞춰야 하는 부담을 덜었습니다.
깔창의 재수정은 언제 하는 것이 좋을까요?
보통 3개월~6개월 정도 착용하게 되면, 발이 교정되는 과정에서 발 모양이 변하게 됩니다. 이 때 틀어진 발을 바로잡는 과정에서 체형도 그대로 영향을 받습니다. 그리고 이후 6개월, 1년 주기로 검사 후 필요시 재수정 작업이 들어가게 됩니다.
하지만 재수정 시기가 되지 않아도 족부교정장치를 착용한 상태로 걷거나 서있을 때 기존에 없던 통증이 나타나거나 어딘가 모르게 불편함이 생긴다면 바로 본원으로 방문하셔서 검사를 받아보시길 바랍니다.

연산당당한방병원
Before & After

해당 사진은 수정없는 실제 치료사진입니다.
환자의 치료결과는 환자의 상태, 치료방법 등에 따라 차이가 발생할 수 있습니다.

찾아오시는 길

부산광역시 연제구 월드컵대로 82, 1~8층

건물 주차장 무료 이용 가능합니다.

지하철 이용 시

1호선3호선 연산역 6번 출구에서 도보 460m

버스 이용 시

51번, 189번
  • 반도보라아파트
    하차 후 약 240m 거리 (물만골 방향)
  • 연산초등학교
    하차 후 약 200m 거리 (연산역 방향)

내원 전 간편하게 예약하세요!

홈페이지 내에 있는 모든 사진, 이미지, 디자인, 페이지에 대한 저작권 등의 권리는 연산당당한방병원에게 있습니다.
따라서 연산당당한방병원의 허락 없이 표절, 무단도용, 재편집을 금지합니다.

빠른상담

상담 신청을 위한 정보를 남겨주시면
보다 빠른 상담이 가능합니다.

로그인 후 이용해주세요.