051-861-7575

전체메뉴

연산당당한방병원은
언제나 여러분들
곁에 있습니다.
  • 상호명 : 연산당당한방병원
  • 대표자 : 성진욱
  • 사업자등록번호 : 154-59-00644
  • 주소 : 부산광역시 연제구 월드컵대로 82, 1~8층

연산동허리병원, 병원 갈때마다 허리디스크 검사를 하는 이유 (검사방법 정리)

본문

c25ca-67e38aac1fb3f-e8f3b324f3d8e22213aad9d2734b73a2dec598cf.png

c25ca-67e38d98720c2-7d38613f120863e24b0d54886a1ee3f2f3b8369f.png

 

봄날, 허리디스크와 함께 이야기해볼까요?

안녕하세요, 여러분과 함께 건강을 고민하는 한의사 성진욱입니다.

병원 주차장 벚꽃을 바라보며 문득 생각해봤어요. 요즘 정말 많은 분들이 허리 통증으로 힘들어하시더라고요. 

오늘은 여러분과 허리디스크에 대해 속 시원하게 이야기 나눠보려 합니다.

c25ca-67e38da198448-130692b1a235162c8b7b8929dc8afbee3bdf8532.png

 

왜 병원을 갈 때마다 검사를 해야 할까요?

환자분들께서 가장 궁금해하시는 부분, 그 의문에 답해드리겠습니다.

 

 

첫 번째 이유: 현재 상태 정확히 확인하기

여러분, 한 달 전 받으신 검사 결과가 지금의 상태와 100% 일치할까요? 절대 아니죠! 우리 몸은 매일 조금씩 변화합니다.

과거 검사 결과로만 치료하다 보면 오히려 상태가 악화될 수 있어요.

최근 1개월 내 검사 CD가 있다면 가져오세요. 그러면 추가 검사 없이도 진료가 가능합니다.

단, 증상이 급격히 변했거나 새로운 증상이 생겼다면 반드시 검사가 필요해요.

 

두 번째 이유: 근본적인 통증 원인 찾기

단순히 "허리가 아프다"는 말로는 부족해요. 왜 아픈지 정확히 알아야 합니다.

CT, MRI는 디스크 돌출 부위에 집중해서 보는 검사예요.

Whole Spine X-ray는 경추부터 골반까지 전체 관절을 확인합니다.

체형적 문제로 허리디스크에 비정상적인 부하가 걸리는지 체크할 수 있죠.

 

허리디스크, 어떤 검사들이 있을까요?

 

 

c25ca-67e38dc28accc-8a7b31d1e98ead1c40d0cac3e8c6f7a49d042c1b.png
1. 신경학적 검사 - 하지직거상검사 (SLR Test)

c25ca-67e38e55eb764-a145b37a4a4c8d68773cc12a5e18c3909754443f.jpg

무료로, 집에서도 할 수 있는 검사예요!

침대에 누워 다리를 무릎 펴고 천천히 들어올려보세요.

30~70도 사이에 통증이 느껴진다면? 허리디스크를 의심해볼 수 있습니다.

 

 

2. 영상의학적 검사

c25ca-67e38dd45a426-89695c830b2eea0472a4f7d4507a1275b676d217.png

c25ca-67e38e5eb6faa-c7821d2aec12c01c19700e06d9e7cf0bce64bcaf.png

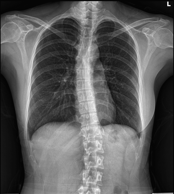
X-ray (엑스레이)

척추 구조와 간격 확인

퇴행성 변화나 측만증 진단 가능

다만, 디스크나 근육은 보이지 않아요

c25ca-67e38dd9e663e-efad69eb959ed37fdd831ccaa6c59bcd28ac0a81.png

c25ca-67e38e6d48954-e1a459fea3523f46c0302cc5233c21ec08fcf193.png

CT (컴퓨터 단층촬영)

뼈와 주변 연부 조직 동시 확인

금속 이식물 있는 분들께 특히 유용

디스크 상태 완벽 진단은 어려워요

c25ca-67e38de31ea69-1d628ddf8aeeeac6b154b702eb72d946c759f36c.png

c25ca-67e38e78021c3-1257745b20e97c8c83f38b5f844e739cda0a4397.png

MRI (자기공명영상)

허리디스크 진단의 정석!

디스크 위치, 신경압박, 퇴행 정도 꼼꼼히 파악

척추관 협착증 같은 동반 질환도 확인 가능

 

c25ca-67e38defbab77-ddc1fd91b607bbcea04c9f1671c22c7971b72f49.png

c25ca-67e38e85dbea6-e9d9c4026b53481431c99aa513709c616220ce9b.png

3.  디지털 적외선 신경 촬영 (DITI)

제가 자주 추천하는 검사예요.

방사선 없이 안전한 검사

신경압박, 염증의 온도 변화 확인

임산부, 아이들도 안전하게 받을 수 있어요

 

 

c25ca-67e38df81a02d-565379733babce216bb9f6c2949c1dd0b3aef272.png

한약으로 도와드리는 허리 건강

c25ca-67e38e8fc974a-af8a9c42a194e46f771bfc4d67884c53aeb04e30.jpg

 
1. 독활기생탕 (허증)
  • 만성적으로 낫지 않는 허리 근육에 최고
  • 추간판 탈출증이 만성적으로 잘 낫지 않고 허리 근육이 약한 사람의 허리 디스크에 쓰는 처방 (소화력에 문제없음)

 

2. 오적산
  • 추위를 잘 타고 소화장애로 인한 냉증이 동반되었을 때
  • 평상시 추위를 잘 타고 소화기 장애가 있거나 복부 냉감이 있어 순환 기능의 저하가 있는 사람으로 냉증으로 인한 허리 디스크가 있는 경우

 

 

마지막으로 한 마디

치료보다 중요한 건 정확한 진단입니다.

꼼꼼한 검사로 맞춤형 치료의 길을 찾아보세요.

여러분의 건강한 허리, 저와 함께 지켜나가요!

 

c25ca-67e38e9634f6f-5cdea39094addfb8debba73c636b6c7a6448f557.png

댓글목록

등록된 댓글이 없습니다.

로그인 후 이용해주세요.

빠른상담

상담 신청을 위한 정보를 남겨주시면
보다 빠른 상담이 가능합니다.