051-861-7575

전체메뉴

연산당당한방병원은
언제나 여러분들
곁에 있습니다.
  • 상호명 : 연산당당한방병원
  • 대표자 : 성진욱
  • 사업자등록번호 : 154-59-00644
  • 주소 : 부산광역시 연제구 월드컵대로 82, 1~8층

부산무지외반증 발가락이 조금씩 변형된다면 위험 신호!

본문

c25ca-67d8dbab1d85a-9b94f011032f35d212f99879b3dadd3ad0f7fd45.jpg

c25ca-67d8dbb9b3c3f-acc850cfc0275841aa4991c2c6225e42e366d189.jpg

안녕하세요.

오늘은 많은 분들이 겪고 계신 무지외반증에 대해 알기 쉽게 설명해 드리겠습니다.

 

 

c25ca-67d8dbbfeb076-602082b937e2e7f928afdf3da4b87599745feced.jpg

우리는 매일 발로 걷고, 서고, 뛰지만 정작 발 건강에는 소홀한 경우가 많습니다.

하루에 수천 걸음을 걷는 동안 발은 체중의 몇 배에 달하는 압력을 반복적으로 받습니다.

한의학에서는 인체의 모든 경락이 발에서 시작되거나 끝난다고 보기 때문에, 발 건강은 단순한 국소 문제가 아니라 전신 건강의 중요한 지표입니다.

특히 발은 신체의 균형을 유지하는 토대이므로, 발의 문제는 무릎, 허리, 목까지 연쇄적으로 영향을 미칠 수 있습니다.

 

 

c25ca-67d8dbcb5a5e9-313ece8a80094e532b2a508a150ed7deb83d4efb.jpg

우리 몸은 태어날 때 90%가 수분으로 이루어져 있지만, 나이가 들수록 체내 수분이 줄어듭니다.

성인이 되면 약 70%로 감소하고, 노년기에는 50% 이하로 떨어지기도 합니다.

이로 인해 연부조직이 딱딱해지고 탄력이 떨어지며 여러 변형이 발생하게 됩니다.

 

발의 경우, 연령이 증가할수록 지방패드가 얇아지고 인대가 느슨해지며 근육의 힘이 약해집니다.

이러한 이유로 발 통증은 30대 후반부터 본격적으로 나타나기 시작하며, 40~50대에 가장 흔하게 발생합니다.

따라서 30대 초반부터는 발 건강에 대한 예방적 관리를 시작하는 것이 좋습니다.

 

 

c25ca-67d8dbf2159b4-8062d5c24ac1ccca9f9e9be7382730383e964c98.jpg

c25ca-67d8dc30155cf-35762605aea988df39de56975c50bfa92da8fd01.jpg

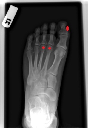
무지외반증은 엄지발가락의 중족지절관절에서 발가락이 바깥쪽(새끼발가락 방향)으로 휘어지는 상태를 말합니다.

엄지발가락이 점점 다른 발가락 쪽으로 기울어지면서 발 앞부분이 넓어지고 뼈가 튀어나오는 형태로 나타납니다.

이는 단순한 외관상의 문제가 아닙니다.

 

보행 시 우리는 발 뒤꿈치부터 엄지발가락 쪽으로 체중을 이동시키며 걷게 되는데,

부산무지외반증 이 있으면 이 과정에서 엄지발가락을 제대로 사용할 수 없게 됩니다.

이로 인해 관절에 과도한 압력이 가해져 관절염을 유발하고, 발 전체의 균형이 무너져 걸을 때마다 발의 다른 부위에 무리가 가게 됩니다.

결과적으로 쉽게 피로감을 느끼고, 장시간 걷거나 서 있는 것이 힘들어집니다.

 

 

c25ca-67d8dc492221f-3810e78bdf6581a392261f61941422df5929e64a.jpg

c25ca-67d8dc51a562e-fee65472d3b71b1ab03b54182621dbb42f7f36b6.jpg

무지외반증은 크게 4단계로 구분됩니다.

 

1단계(경도)

외관상 변화가 미미하고 가끔 통증이 발생합니다.
무지외반각(엄지발가락이 휘어진 각도)이 15도 이하입니다.
신발을 신을 때 약간의 불편함을 느낄 수 있습니다.
이 단계에서는 보존적 치료로 충분히 관리가 가능합니다.


2단계(중등도)

외관상 변화가 뚜렷하고 잦은 통증과 붓기가 발생합니다.
무지외반각이 15~20도 정도입니다.
신발을 신을 때 압박감을 느끼고, 오래 걸으면 통증이 심해집니다.
발 앞부분 내측에 염증과 굳은살이 생기기 시작합니다.


3단계(중증)

두 번째, 세 번째 발가락의 변형이 시작됩니다.
무지외반각이 20~40도 정도입니다.
항상 통증이 있으며, 걸을 때 심해집니다.
신발 선택에 제한이 생기고, 일상생활에 지장이 있습니다.
상황에 따라 수술이 필요할 수 있습니다.


4단계(심각)

심한 변형과 함께 항상 불편함과 통증을 느낍니다.
무지외반각이 40도 이상입니다.
다른 발가락들도 심하게 변형되어 있습니다.
걷기가 매우 어렵고 일상생활에 큰 지장이 있습니다.
적극적인 치료와 대부분 수술적 교정이 필요합니다.

 

대부분의 환자는 2~3단계에서 병원을 찾게 됩니다.

이때는 이미 통증이 발생하고 일상생활에 지장을 받기 시작하는 단계입니다.

초기에는 통증이 간헐적이지만, 질환이 진행될수록 통증 주기가 짧아지고 지속 시간이 길어집니다.

무지외반증이 진행되면 관절낭, 인대, 건 등의 연부조직에 염증이 생기고 부종이 발생하여 더욱 통증이 심해집니다.

 

 

c25ca-67d8dc5d70f2c-0a8556efc4293cbc1eb5283522896ef98455e3f7.jpg

c25ca-67d8dd4be5272-0277cac22cf86c1bd9d8a5503062be7a9fa93ee6.jpg

1. 부적절한 신발 선택

앞꿈치가 좁은 신발이나 하이힐은 발가락을 비좁은 공간에 압박하여 엄지발가락을 안쪽으로 밀어 넣어 휘게 만듭니다.

특히 여성들이 오랜 기간 하이힐을 착용하면 발 앞부분에 과도한 체중이 실리게 되어 무지외반증 발생 위험이 높아집니다.

2~3cm 굽 높이의 발볼이 넓은 편안한 신발을 선택하는 것이 중요합니다.

 

 

c25ca-67d8dc9785c0a-3da3d7be8046b875aec9919c73e7df8f0e52e6c8.png

2. 낮은 발 아치 또는 평발

발 아치는 신체의 자연 충격 흡수 장치로, 걸을 때 발생하는 충격을 분산시키는 역할을 합니다.

아치가 무너지면(평발) 보행 시 발이 과도하게 안쪽으로 굴러가는 현상(과회내)이 생깁니다.

이로 인해 체중이 엄지발가락 내측으로 이동하게 되어 무지외반증이 발생할 수 있습니다.

 

c25ca-67d8dcb66ed14-b9878149c4b9e31fff92664c0c186d2575f0fd0b.jpg

실제로 부산무지외반증 환자의 상당수는 평발을 동반하고 있으며, 단순한 신발 문제보다 발 구조의 이상이 더 흔한 원인입니다.

 

c25ca-67d8dcc005321-7c31015a60bcaf5b1b23ef250b173016291dfa05.jpg

3. 무릎 정렬 이상

무릎에서 정강이뼈가 외측으로 회전된 경우(경비골 회전 증후군), 보행 시 체중이 엄지발가락 내측으로 이동하여 무지외반증이 생길 수 있습니다.

이러한 정렬 이상은 특히 발레나 스케이트처럼 발을 바깥으로 돌리는 동작이 많은 운동을 하는 사람들에게서 흔히 볼 수 있습니다.

이런 경우에는 단순히 발만 치료하는 것이 아니라 고관절과 무릎의 정렬을 함께 교정해야 합니다.

 

c25ca-67d8dcc6e3111-518509d5b72133d0b47a5dfd78c36c005a474f21.jpg

4. 8자 걸음

발이 외측으로 향하는 8자 걸음은 엉덩이 근육이 발달한 남성이나 O다리를 가진 사람들에게 많이 나타납니다.

이러한 보행 패턴에서는 엄지발가락 내측으로 체중이 이동하게 되어 무지외반증을 유발할 수 있습니다.

걸을 때 발끝이 바깥쪽을 향하고 있는지 확인해 보세요.

 

무지외반증은 가족력이 있는 경우가 많습니다.

발의 구조와 형태는 유전적 요인에 영향을 받기 때문에, 부모나 조부모가 무지외반증이 있다면 자녀에게도 발생할 확률이 높아집니다.

 

 

c25ca-67d8dcce73a58-1fcb7a49aa4baee3dfde621f429c1b679ee6a4ce.jpg

c25ca-67d8dcd9ed4ef-202ef90d0d4ca127b34011b4f405f833c004c7fc.jpg

엄지발가락과 두 번째, 세 번째 발가락의 발등 부위에 굳은살이 있다면 무지외반증을 의심해 볼 수 있습니다.

 

무지외반증으로 인해 발의 체중 분포가 바뀌면서 특정 부위에 과도한 압력이 가해집니다.

특히 엄지발가락이 제 기능을 못하게 되면 무의식적으로 둘째 발가락에 더 많은 힘을 주게 되어, 이 부위에 굳은살이 생기게 됩니다.

 

굳은살은 통증을 유발하고 보행에 불편함을 줄 수 있지만, 이는 무지외반증의 결과일 뿐입니다.

따라서 굳은살만 제거하는 것보다는 근본 원인인 무지외반증을 치료하는 것이 중요합니다.

무지외반증이 진행되면 발뿐만 아니라 무릎, 고관절, 척추에도 영향을 미쳐 전신 통증을 유발할 수 있습니다.

 

 

c25ca-67d8dd07cdc28-133656459d0a154069721486c8294e9070a950ed.jpg

사람마다 발의 모양과 발가락 크기가 다르기 때문에, 개인 맞춤형 실리콘 교정기를 사용하는 것이 효과적입니다.

기성품은 충분한 효과를 내기 어려울 수 있으며, 오히려 불편함을 가중시킬 수 있습니다.

맞춤형 교정기는 무지외반증의 정도, 발의 형태, 피부 상태 등을 고려하여 제작됩니다.

발가락은 특히 민감한 부위이므로 피부 자극이 적은 부드러운 소재를 선택하는 것이 중요합니다.

2~3단계 무지외반증의 경우, 더 이상 진행되지 않도록 적극적인 치료가 필요합니다.

 

아치가 낮거나 평발인 환자는 족부보조기(발 교정기)를 통한 교정이 도움이 될 수 있습니다.

족부보조기는 발의 아치를 지지하고 체중을 골고루 분산시켜 엄지발가락에 가해지는 압력을 줄여줍니다.

보조기를 착용한 상태에서 걷기, 서기, 운동을 통해 발목 관절의 올바른 정렬을 유지하면 발에 가해지는 스트레스를 줄이고 무지외반증 진행을 막을 수 있습니다.

 

 

c25ca-67d8dd12cf65e-e8b1eef95b75ebf13fab0c8ee22ebd32a467cd9f.jpg

무지외반증은 단순한 미용상의 문제가 아니라 전신 건강에 영향을 미칠 수 있는 중요한 질환입니다.

발과 연결된 무릎, 고관절, 척추에도 통증을 유발할 수 있으며, 방치하면 보행 장애로 이어질 수 있습니다.

 

중년 이후에는 노화로 인한 관절 변형이 더욱 가속화될 수 있으므로, 조기에 발 건강에 관심을 갖고 예방하는 것이 중요합니다.

발에 통증이 있거나 변형이 의심된다면 상담하여 적절한 치료 계획을 세우시기 바랍니다.

오늘부터 발 건강에 더 많은 관심을 기울여 보세요. 건강한 발은 활기찬 삶의 기초가 됩니다.

 

성진욱 한의사가 더 궁금하시다면? ▶▶Click!

 

댓글목록

등록된 댓글이 없습니다.

로그인 후 이용해주세요.

빠른상담

상담 신청을 위한 정보를 남겨주시면
보다 빠른 상담이 가능합니다.